| |
|
| |
|
|
|
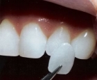
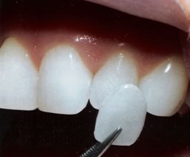
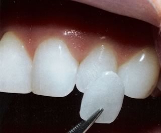
Cerâmicas, (lentes de contato) |
As lentes de contato cerâmicas são indicadas para correção de dentes separados, desgastados, desalinhados, manchados ou escurecidos. A grande vantagem deste procedimento é que não é necessário desgastar o esmalte do dente sendo, portanto, um tratamento conservador e totalmente reversível, pois as lentes são “coladas” à superfície do dente e por se tratar de uma porcelana, a durabilidade é muito superior a uma restauração em resina composta. Este procedimento quando bem planejado e executado pode transformar e iluminar seu sorriso. |
|
|
|
|
| |
| « Voltar |
| |
|
|